Your Cart

Your cart is empty

Looks like you haven't added anything to your cart yet.

Browse Products
4 February 2025 Rothley Lodge Dental

Profilo Guided Surgery with Dr. Simon Chard

Inserta Simply Guided Surgery

Lorem ipsum dolor sit amet, consectetur adipiscing elit. Morbi non dictum turpis. Vestibulum varius odio vitae tortor aliquam ullamcorper. Vestibulum nisl risus, bibendum quis convallis bibendum, tempus sed nunc. Morbi molestie, neque at vestibulum ultricies, magna libero convallis velit, euismod malesuada enim magna ac neque. Morbi pretium est in congue volutpat. Ut vulputate placerat augue, eget porttitor orci fermentum vel. Fusce ornare ante sit amet volutpat suscipit. Fusce vestibulum fringilla turpis ut luctus. Etiam eu egestas nisl. Quisque et varius leo, ac eleifend tortor. Vestibulum porttitor pretium lacus, ac molestie turpis euismod in. Nulla lacinia, nulla id congue convallis, elit leo molestie velit, sed eleifend orci dolor vitae lacus. Nullam a finibus dolor. Quisque semper, ipsum et lacinia congue, nulla sem molestie odio, vitae porttitor felis lacus quis orci. Nunc vulputate tortor erat, ut dapibus mauris fermentum quis. Ut tellus enim, feugiat sed tincidunt eget, porttitor ut purus.

Before - Profilo Guided Surgery with Dr. Simon Chard
Before
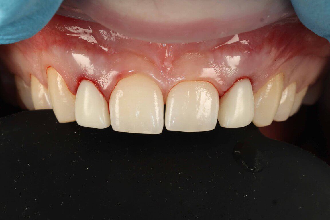
After - Profilo Guided Surgery with Dr. Simon Chard
After

This case showcases Dr. Simon Chard performing a Profilo Double Implant Surgery, utilizing advanced simply guided surgery techniques. The procedure focuses on a full arch restoration, delivering precision and optimal outcomes for the patient through state-of-the-art implant technology.

Gallery

Gallery image for Profilo Guided Surgery with Dr. Simon Chard
Gallery image for Profilo Guided Surgery with Dr. Simon Chard
Gallery image for Profilo Guided Surgery with Dr. Simon Chard
Gallery image for Profilo Guided Surgery with Dr. Simon Chard
Gallery image for Profilo Guided Surgery with Dr. Simon Chard
Gallery image for Profilo Guided Surgery with Dr. Simon Chard
Gallery image for Profilo Guided Surgery with Dr. Simon Chard
Gallery image for Profilo Guided Surgery with Dr. Simon Chard
Gallery image for Profilo Guided Surgery with Dr. Simon Chard
Gallery image for Profilo Guided Surgery with Dr. Simon Chard