Your Cart

Your cart is empty

Looks like you haven't added anything to your cart yet.

Browse Products

Full Arch Surgery with Dr. Khartic Patel

Inserta Full Arch Simply Guided Surgery

Lorem ipsum dolor sit amet, consectetur adipiscing elit. Morbi non dictum turpis. Vestibulum varius odio vitae tortor aliquam ullamcorper. Vestibulum nisl risus, bibendum quis convallis bibendum, tempus sed nunc. Morbi molestie, neque at vestibulum ultricies, magna libero convallis velit, euismod malesuada enim magna ac neque. Morbi pretium est in congue volutpat. Ut vulputate placerat augue, eget porttitor orci fermentum vel. Fusce ornare ante sit amet volutpat suscipit. Fusce vestibulum fringilla turpis ut luctus. Etiam eu egestas nisl. Quisque et varius leo, ac eleifend tortor. Vestibulum porttitor pretium lacus, ac molestie turpis euismod in. Nulla lacinia, nulla id congue convallis, elit leo molestie velit, sed eleifend orci dolor vitae lacus. Nullam a finibus dolor. Quisque semper, ipsum et lacinia congue, nulla sem molestie odio, vitae porttitor felis lacus quis orci. Nunc vulputate tortor erat, ut dapibus mauris fermentum quis. Ut tellus enim, feugiat sed tincidunt eget, porttitor ut purus.

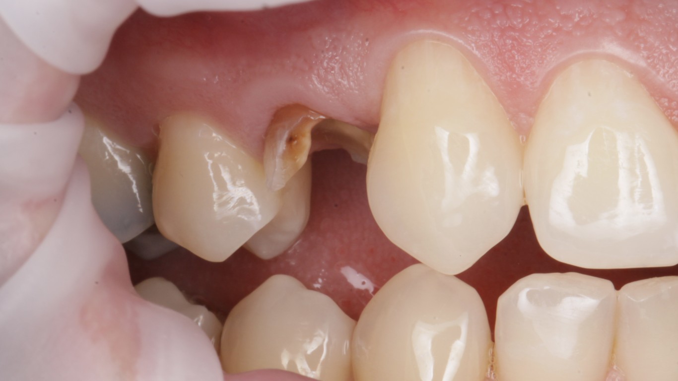
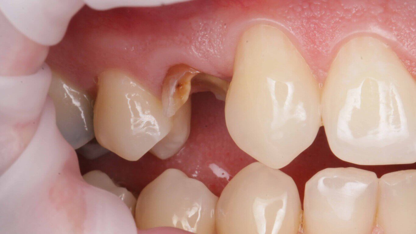
Before - Full Arch Surgery with Dr. Khartic Patel
Before
After - Full Arch Surgery with Dr. Khartic Patel
After

This case highlights Dr. Khartic performing a full arch surgery, employing advanced guided surgery techniques. The procedure centers on a complete arch restoration, ensuring precision and optimal results for the patient through cutting-edge implant technology.

Gallery

Gallery image for Full Arch Surgery with Dr. Khartic Patel
Gallery image for Full Arch Surgery with Dr. Khartic Patel
Gallery image for Full Arch Surgery with Dr. Khartic Patel
Gallery image for Full Arch Surgery with Dr. Khartic Patel
Gallery image for Full Arch Surgery with Dr. Khartic Patel
Gallery image for Full Arch Surgery with Dr. Khartic Patel
Gallery image for Full Arch Surgery with Dr. Khartic Patel
Gallery image for Full Arch Surgery with Dr. Khartic Patel
Gallery image for Full Arch Surgery with Dr. Khartic Patel
Gallery image for Full Arch Surgery with Dr. Khartic Patel